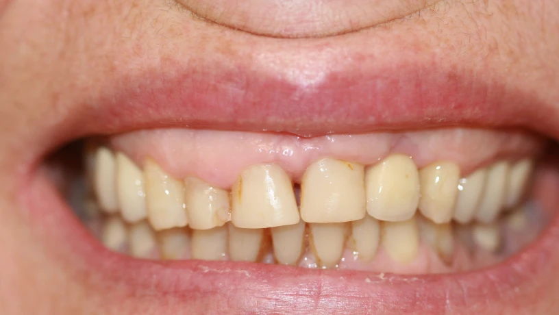
Facettes pelliculaires
Dans un monde où l’image tient une importance capitale, le sourire s’affiche et nous devons donner la possibilité à tous ceux qui le souhaitent de sourire ouvertement.
Sourire en ayant du plaisir à montrer des dents éclatantes, aux formes harmonieuses, et parfaitement alignées est une demande plus que légitime.
Aujourd’hui, nous pouvons offrir ce plaisir à chacun d’entre vous grâce aux facettes pelliculaires.
Elles sont en céramique, aussi fines qu’une lentille de contact, à peine 0,3 mm d’épaisseur, et leur pose se fait sans aucune préparation de vos dents.
Ce procédé est donc totalement indolore, non invasif, atraumatique et parfaitement réversible. Ce qui nous permet de le proposer à un très large public puisqu’il n’existe que très peu de contre-indications.

Le résultat : en 2 séances, 3 tout au plus, toutes les imperfections étant corrigées, votre sourire est métamorphosé. Et lorsque l’on a le bonheur de pouvoir sourire à pleines dents, notre relation au monde s’en trouve modifiée !
Une première séance est dédiée à la prise d’empreinte, prise de teinte et permet de déterminer la forme qui convient.
La séance suivante est consacrée à la pose des facettes qui sont réalisées dans un laboratoire de prothèse dentaire. Elles sont posées une par une et un contrôle est réalisé à la fin de la séance pour vérifier leur intégration et l’absence d’obstacles aux mouvements fonctionnels.
Une séance préliminaire de prise de contact et d’information peut être utile.
À découvrir également : Injections d’acide hyaluronique au Cabinet dentaire du Château à Écouen.






